How We Determine if Braces Are Medically Necessary
For some insurance plans, including certain state plans, braces are only covered when treatment is considered medically necessary. This means the orthodontic issue must be serious enough to affect oral health, function, or bite development, not just appearance.
What is Salzmann Index?
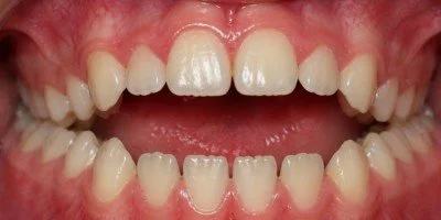
The Salzmann Index is a scoring system orthodontists use to measure the severity of certain bite and alignment problems. It looks at issues such as crowding, spacing, overbite, crossbite, and other orthodontic concerns.
In simple terms, it helps show whether braces may be needed for health and function, rather than for cosmetic reasons alone.
If you are hoping to use insurance benefits for orthodontic treatment, your plan may require documentation showing that treatment is medically necessary. A Salzmann evaluation helps provide that documentation.
This process can be especially important for families using state-supported insurance plans for children and teens.
Conditions That May Automatically Qualify for
Orthodontic Coverage
In some cases, orthodontic treatment may be considered medically necessary without relying only on a numerical Salzmann score. These are typically more severe conditions that clearly affect function, development, or oral health.
Examples may include:
Cleft Lip and/or Palate
Children with a complete or partial cleft lip or palate, or certain craniofacial conditions affecting the bite, are often considered for medically necessary orthodontic treatment. These cases usually involve important functional and developmental needs.
Severe Deep Bite with Trauma
A very deep bite can cause the teeth to press too far into the gums or soft tissue. This may lead to tissue injury, gum irritation, or tooth wear. When there is visible trauma or damage, it may strengthen the case for orthodontic coverage.
Severe Anterior Open Bite
An anterior open bite means the front teeth do not overlap properly when the mouth closes. In more severe cases, this can make it hard to bite into food and may even affect speech. Documentation must show that the problem is interfering with normal function.
Crossbite with Functional Shift
A crossbite may sometimes cause the lower jaw to shift when closing the mouth. Over time, this can contribute to uneven jaw function or facial asymmetry. When the issue affects function and not just tooth position, it may be considered more serious.
Important:
These types of conditions still require proper documentation and insurance review. Final approval depends on your specific plan and the records submitted.
For Wisconsin orthodontic reviews, the Salzmann score must be documented on official forms and submitted along with supporting records. These records may include:
study models or digital scans
photographs
radiographs (X-rays)
Wisconsin may also use Automatic Qualifiers for clearly severe cases, such as cleft palate or certain craniofacial conditions. In these situations, the case may be reviewed based on the severity of the condition rather than only on the numerical score.
Our team can help gather the necessary records and explain what may be needed for your child’s orthodontic evaluation.
Important Notes for Wisconsin
No. A Salzmann evaluation does not automatically guarantee insurance approval. It is one part of the review process. Final decisions are always made by the insurance company based on your plan’s rules and required documentation.
Insurance guidelines can feel confusing, but we’ll help make the process easier to understand. If you have questions about whether braces may be covered, our team is happy to review your benefits and explain the next steps.

