Wait… Flossing Can Help Protect Your Brain?
Most people think flossing is just about avoiding cavities or not getting called out by their dentist. But here’s a plot twist: flossing might also help support your heart and brain health.
Yes, really.
Scientists have found growing connections between gum disease and conditions like heart disease and stroke. That means the tiny habit many people skip at night could actually have benefits far beyond your smile.
Let’s break it down.
Your Mouth Is Basically a Bacteria Hotspot
Your mouth naturally contains hundreds of types of bacteria. Most of them are harmless when you brush and floss regularly.
But when plaque builds up between your teeth, bacteria start multiplying. This can lead to gum disease, which usually starts as gingivitis.
Signs of gingivitis include:
Red or swollen gums
Bleeding when brushing or flossing
Bad breath
If it isn’t treated, gingivitis can turn into periodontitis, a more serious gum infection that can damage the bone supporting your teeth.
And here’s where things get interesting.
Gum Disease Doesn’t Stay in Your Mouth
When your gums are inflamed or bleeding, bacteria from your mouth can actually enter your bloodstream.
Once those bacteria are circulating in your body, they may contribute to things like:
Inflammation in blood vessels
Plaque buildup in arteries
Higher risk of blood clots
Over time, this can contribute to atherosclerosis, which is when arteries become narrowed or hardened. When this happens in arteries that supply blood to the brain, the risk of stroke can increase.
So yes, what’s happening in your mouth can affect the rest of your body.
Atherosclerosis is the slow buildup of fats, cholesterol, and other substances (plaque) inside the artery walls, causing them to harden and narrow. This restricts oxygen-rich blood flow to organs and tissues, which can lead to serious conditions like heart attacks, strokes, and peripheral artery disease.
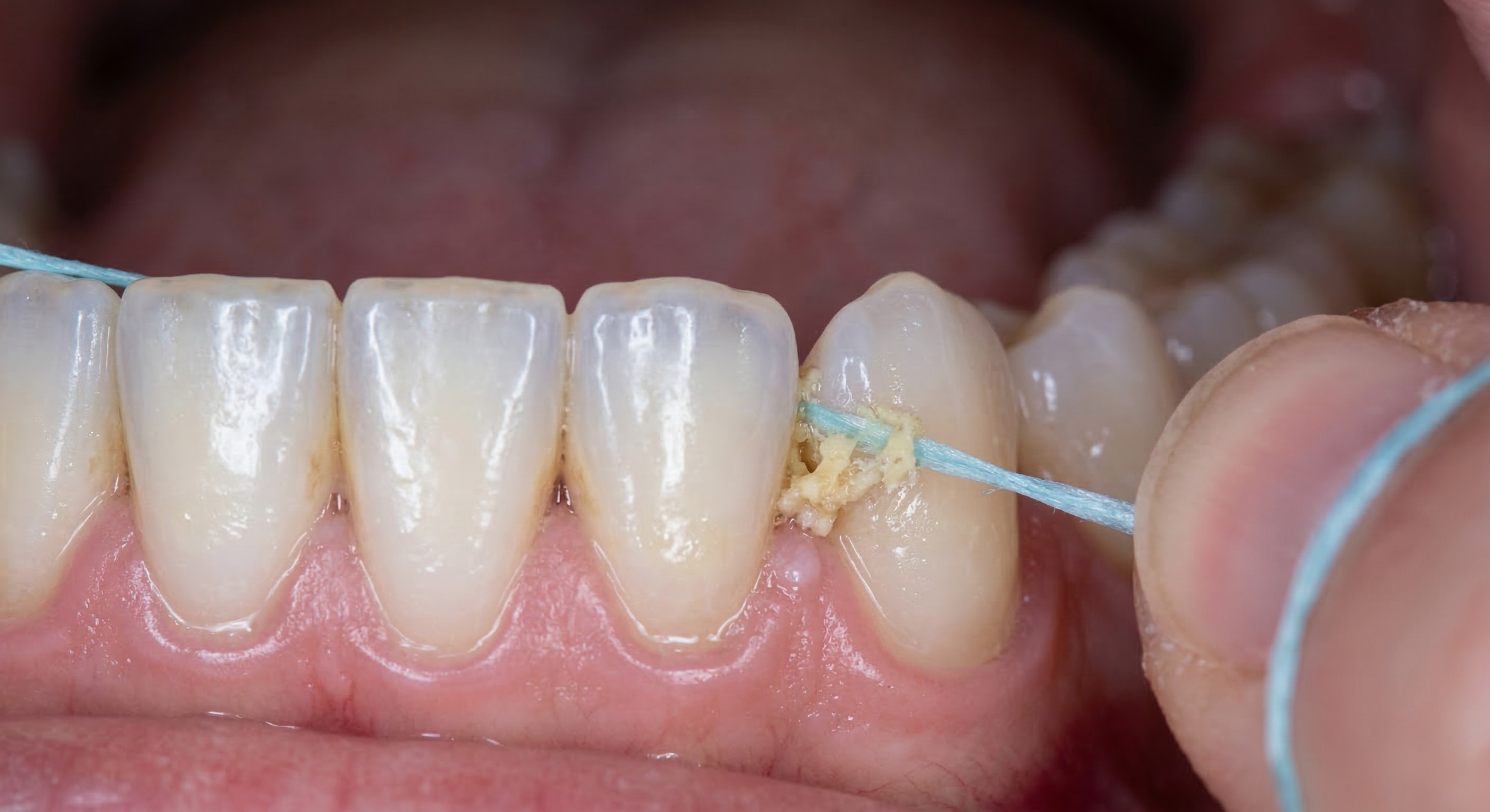
So Where Does Flossing Come In?
Flossing is one of the best ways to clean between your teeth and under the gumline, where your toothbrush cannot reach. That matters because plaque and bacteria often build up in those tight spaces first. When flossing becomes part of your daily routine, it helps reduce gum inflammation, lower the amount of harmful bacteria in the mouth, and support better overall oral health.
This matters for more than just your smile. Multiple studies have observed that people with periodontitis have higher rates of stroke and cardiovascular disease. Some large population studies have also found that people who floss regularly have lower stroke incidence, likely because flossing helps control inflammation and reduces the bacterial load that can affect the body beyond the mouth.
A large study following more than 6,000 adults for over 25 years found that people who flossed had a 22% lower risk of ischemic stroke and a 44% lower risk of certain clot-related strokes, compared with those who did not floss regularly.
Flossing does not directly prevent stroke, but it may help lower risk factors linked to inflammation and vascular disease.
The Small Habit That Actually Matters
Flossing takes less than two minutes, but over months and years it can make a real difference for both your oral health and your overall health. A simple daily routine goes a long way: brush your teeth twice a day, floss once a day, and visit your dentist for a professional cleaning about every six months. Think of flossing as a small daily investment in your future self.
The Bottom Line
Flossing isn’t just about having clean teeth for your next dental visit. Keeping your gums healthy helps reduce inflammation and harmful bacteria that can affect the rest of your body.
So the next time you’re about to skip flossing, remember:
it might be doing more for your health than you think.
Your smile, your heart, and even your brain might thank you later. 🪥

